¿Notas que tus dientes ya no se ven tan blancos como antes? Las manchas dentales son más comunes de lo que piensas, pero la buena noticia es que tienen solución.
En Institut Joan Autrán te contamos cómo identificar su origen y qué hacer para recuperar tu sonrisa.
¿Por qué aparecen las manchas en los dientes?
Las manchas dentales pueden tener distintas causas. Algunas son superficiales, es decir, se depositan sobre el esmalte, mientras que otras son más profundas, al estar dentro de la estructura del diente.
Entre los factores más comunes están:
- El consumo habitual de café, té, vino tinto o tabaco
- Una higiene bucal inadecuada
- El paso del tiempo (el esmalte se desgasta y deja a la vista la dentina, que es más amarilla)
- Ciertos medicamentos
- Traumatismos o golpes en los dientes
- Exceso de flúor en la infancia
Identificar el tipo de mancha es fundamental para elegir el tratamiento adecuado.

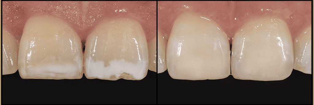
Tipos principales de manchas dentales
Podemos clasificarlas en dos grandes grupos:
1. Manchas extrínsecas
Son las más comunes. Se forman en la superficie del esmalte por el contacto frecuente con sustancias pigmentadas.
Aunque no suelen ser graves, pueden oscurecer visiblemente tu sonrisa con el tiempo.
¿Se pueden eliminar? Sí. En muchos casos basta con una buena limpieza profesional y, si buscas un cambio más notable, el blanqueamiento dental es una opción ideal.
2. Manchas intrínsecas
Estas son más profundas, ya que afectan a la dentina, la capa interna del diente. Su origen puede estar en traumatismos, infecciones durante el desarrollo dental, el uso de antibióticos como la tetraciclina, o alteraciones genéticas.
¿Tienen solución? Sí, aunque requieren tratamientos más avanzados. En algunos casos el blanqueamiento dental puede ser eficaz, y en otros será necesario valorar alternativas como las carillas dentales.

El blanqueamiento dental: seguro, eficaz y personalizado
Si quieres eliminar las manchas y devolverle la luz a tu sonrisa, el blanqueamiento dental es una de las mejores opciones. Eso sí, no todos los tratamientos son iguales, ni todos los productos del mercado ofrecen resultados seguros o duraderos.
En Institut Joan Autrán trabajamos con un enfoque personalizado y mínimamente invasivo.
Utilizamos tecnología de última generación y productos profesionales que respetan la estructura dental.
El tratamiento puede realizarse en clínica, en casa, o combinando ambas opciones, siempre bajo supervisión odontológica.
¿Qué beneficios puedes esperar?
- Dientes más blancos en pocas sesiones.
- Tratamiento seguro, sin dañar el esmalte.
- Resultados duraderos si mantienes buenos hábitos.
- Mejora visible del aspecto general de tu sonrisa.
Y lo más importante: recuperas la confianza al sonreír.

Cómo prevenir la aparición de manchas
Además del tratamiento, es fundamental que cuides tu salud bucal a diario. Aquí van algunos consejos prácticos:
- Cepíllate los dientes después de cada comida, especialmente si has tomado bebidas pigmentadas.
- Usa hilo dental para eliminar restos entre los dientes
- Evita el tabaco y reduce el consumo de café, vino tinto y refrescos oscuros.
- Realiza limpiezas profesionales periódicas.
- Consulta con tu dentista ante cualquier cambio de color en tus dientes.
Recupera tu sonrisa y confianza
Las manchas en los dientes no tienen por qué acompañarte siempre. Con el tratamiento adecuado, puedes recuperar el blanco natural de tu sonrisa y sentirte mejor contigo mismo/a.
En Institut Joan Autrán, te acompañamos en todo el proceso con un enfoque cercano, profesional y adaptado a ti.
Si estás pensando en hacerte un blanqueamiento dental, te invitamos a reservar una primera visita. Estudiaremos tu caso, resolveremos todas tus dudas y te propondremos la mejor solución para ti.
Porque una sonrisa luminosa no solo se ve… se siente.











