La mordida cruzada es una mal-oclusión que consiste en tener una posición incorrecta de los dientes al morder. Por suerte, en la mayoría de casos se pueden corregir con Invisalign e incluso, si es leve, con un tratamiento restaurador estético con carillas dentales ¡Descubre aquí cuáles!
¿Se puede corregir la mordida cruzada con Invisalign o con carillas dentales?
La ortodoncia invisible se ha convertido en uno de los procedimientos más valorados y solicitados por las personas que se tienen que someter a un tratamiento de ortodoncia, dado que es un sistema de alineación invisible que permite corregir la posición de los dientes de forma progresiva.
Existen casos de mordida cruzada en los que utilizar Invisalign es la solución ideal para corregir la anomalía, y otros casos más complejos que son esqueléticos y que precisan de hasta un tratamiento quirúrgico. Por eso en este artículo del Institut Joan Autrán vamos a explicarte cuando corregir la mordida cruzada con Invisalign.

¿Qué es la mordida cruzada?
La mordida cruzada es un tipo de maloclusión que hace referencia a la forma incorrecta de morder de una persona, donde los dientes de la arcada superior no muerden
(ocluyen) como deberían , es decir, no cierran por delante de los dientes inferiores, ya sea parcialmente, con la afectación de una o varias piezas, o en bien en su totalidad (todas las piezas inferiores cierran por delante de las piezas superiores)
Se trata de una anomalía que aparece principalmente con la erupción y estabilización de los dientes definitivos, y es importante detectarla cuanto antes en los niños, ya que con la ayuda del proceso de crecimiento, es mucho más fácil realizar la corrección de la alineación y evitar en un futuro consecuencias como desgastes dentales irregulares, lesiones en la articulación temporomandibular, problemas musculares, asimetrías faciales, fracturas dentales, cefaleas, problemas de masticación y dificultades en la respiración e incluso del habla.
¿Cómo corregir la mordida cruzada?
La mordida cruzada se puede tratar básicamente con sistemas de ortodoncia simple o combinada, necesitando en ocasiones de cirugías para los casos más severos.No obstante, como siempre, te recomendamos que acudas a un especialista para que te pueda indicar el mejor método, ya que si no se trata correctamente, la mordida cruzada puede derivar no sólo en problemas estéticos, también de salud.

¿Se puede corregir la mordida cruzada con Invisalign?
¡Sí! Actualmente se utiliza Invisalign de forma frecuente para corregir la mordida cruzada. Esta tecnología se basa en el uso de alineadores transparentes que modifican paulatinamente la posición de los dientes, con lo que permite corregir la maloclusión sin necesidad de utilizar brackets.
No obstante, en función del tipo de mordida cruzada y de la gravedad del caso, será mejor tratar esta afección con brackets, sistemas combinados de ortodoncia, o con Invisalign.
Cómo tratar la mordida cruzada posterior con Invisalign
Si la mordida cruzada posterior es leve es de muy fácil solución con un tratamiento Invisalign y, si se precisa, con la ayuda de elásticos de ortodoncia.
Si el caso es algo más grave, es posible combinar elementos de expansión con una ortodoncia invisible.

Cómo tratar la mordida cruzada anterior con Invisalign
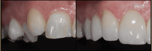
La mordida cruzada anterior que afecta a un solo diente o es leve puede corregirse perfectamente utilizando solo Invisalign e incluso alguna carilla de cerámica
Dónde corregir la mordida cruzada con Invisalign
Si padeces mordida cruzada y quieres iniciar un tratamiento de ortodoncia, no dudes en contactar con nosotros. En Institut Autrán somos expertos en la aplicación de Invisalign y garantizamos siempre los mejores resultados.
Tanto si optas por utilizar ortodoncia invisible, como si deseas valorar sistemas alternativos estéticos puedes solicitar una visita sin compromiso, donde con un estudio previo te ofreceremos las mejores soluciones.
¿A qué esperas? Acude a nuestro Smile Design Center de Barcelona y empieza a disfrutar de una sonrisa radiante.











