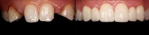
Hoy os vamos a presentar un caso que creemos dará respuesta a una de las preguntas que los pacientes, debido al conocimiento de nuestra clara vocación estética, suelen hacer con más frecuencia en Smile Design Center by Joan Autrán Nos referimos a las características e indicaciones de los implantes de zirconio (implantes blancos, de cerámica, etc.…).
¿Qué son los implantes de Zirconio?
Los implantes de zirconio están hechos de un mineral cerámico blanco libre de metal que les transfiere su característico color claro que tanto gusta a primera vista en comparación al color gris metal de los implantes de titanio clásicos. Los implantes cerámicos se habían usado hace mucho tiempo, pero dejaron de colocarse debido a índices relativamente altos de fracturas y de pérdida en la integración.
En los últimos tiempos han aparecido nuevos implantes estéticos que puede decirse son una versión mejorada de los antiguos implantes cerámicos. La aparición del uso de zirconio en odontología (una cerámica de dureza similar al metal) sin duda ha favorecido dicha transformación.

Opinión personal sobre este tipo de implante
Aclarado lo que son los implantes de zirconio, queremos dejar bien clara nuestra postura al respecto. Cuando algún paciente nos pregunta si le aconsejamos un implante de zirconio, nuestra respuesta es siempre la misma:” depende del caso”. Eso no quita que coloquemos implantes de zirconio en Smile Design Center, ya que, como centro nacional de referencia en estética dental, trabajamos con seleccionados materiales de última generación.
¿Qué tipo de cerámica para implantar es mejor?
Lo que ocurre con los implantes cerámicos es muy sencillo, no disponemos de tanta información. Los implantes de titanio nos ofrecen mayor seguridad porque disponen de más estudios y ensayos clínicos que avalan el resultado y biocompatibilidad, además, hay infinidad de casa comerciales con diferentes sistemas y soluciones para trabajar con ellos en las mejores condiciones. Esa es la razón que hace que nos decantemos por este tipo de implantes dentales.
Los nuevos implantes cerámicos (los de zirconio) son desde luego una gran aportación a la odontología y creemos serán cada vez más utilizados. Sobre todo son ideales para utilizar en casos donde el paciente es alérgico al titanio (son pocos), en pacientes con biotipos periodontales muy finos y con tendencia a perder encía (la translucidez de la encía nos mostrará una superficie blanca y no gris), o en aquellos pacientes que no puedan llevar metales por estar sometidos con frecuencia a resonancias magnéticas nucleares entre otras indicaciones médicas.












