La hipoplasia dental es mucho más que un desafío estético; es una condición clínica que requiere de atención especializada. Se caracteriza por un esmalte dental deficiente, una afección que puede llevar a problemas serios de salud dental.
Hoy, en Institut Joan Autrán te explicamos algunas de las características de la hipoplasia dental, cuales son los mejores tratamientos disponibles para tratarla y cómo nuestro enfoque de especialista te ayudará no solo a recuperar la funcionalidad sino también a mejorar la estética de tus dientes.

¿Qué es la hipoplasia dental?
La hipoplasia dental es un trastorno que afecta al desarrollo del esmalte dental. Se caracteriza por un esmalte dental deficiente o incompleto en cantidad o calidad, que provoca dientes de aspecto irregular, manchados o con esmalte débil mucho más susceptible a sufrir caries dental..
Impacto psicosocial de la hipoplasia dental
Esta condición no solo afecta la salud dental, sino también la autoestima y a la interacción social de los pacientes. La influencia de las redes sociales y los cambios culturales impactan directamente sobre la conciencia respecto a la apariencia personal, por lo que hemos de tener muy en cuenta que una sonrisa atractiva es fundamental para la confianza y el bienestar emocional.
Diagnóstico de la hipoplasia dental
La detección temprana de la hipoplasia dental es crucial para un tratamiento efectivo. Se realiza mediante una evaluación dental exhaustiva, que incluye la observación visual de los dientes y, en algunos casos, radiografías para evaluar la extensión del daño en el esmalte.
Prevención de la hipoplasia dental
Aunque no todas las causas de la hipoplasia dental pueden prevenirse, ciertas medidas como una alimentación adecuada durante el embarazo y la infancia (con una ingesta equilibrada de vitaminas y minerales), el control de procesos infecciosos y la protección contra traumatismos dentales, pueden reducir el riesgo de desarrollar este trastorno.

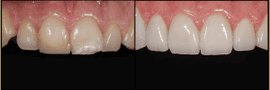
Tratamientos estéticos para tu hipoplasia dental
Los servicios de estética dental de alta calidad, como los que ofrecemos en el Institut Joan Autrán, juegan un papel crucial en el tratamiento y la solución de este problema.
· Carillas dentales
Son finas láminas de porcelana o materiales compuestos que se adhieren a la superficie frontal de los dientes. Las carillas dentales pueden mejorar notablemente la estética de los dientes afectados por la hipoplasia.
· Coronas dentales
Cuando la hipoplasia es más severa y ha comprometido la estructura del diente, las coronas pueden ser una opción. Estas cubren completamente el diente afectado, protegiéndolo de daños adicionales y mejorando su apariencia estética.
· Blanqueamiento dental
En casos donde la hipoplasia ha causado manchas o decoloración, el blanqueamiento dental puede ayudar aunque las tinciones no desaparezcan, pero es fundamental evaluar previamente el caso y descartar este tipo de tratamientos en hipoplasias graves o severas.
· Bonding dental
Este procedimiento implica la aplicación de una resina compuesta que se moldea y endurece sobre los dientes, siendo una opción menos invasiva adecuada para casos leves o niños y adolescentes en periodo de crecimiento.
Tratamientos preventivos y reparadores
Estos tratamientos incluyen aplicaciones de flúor, selladores, y tratamientos restauradores para tratar caries u otros daños causados por la hipoplasia.
Nuestros pilares: calidad, garantía y naturalidad
El enfoque del Institut Joan Autrán en calidad, garantía y naturalidad asegura que los tratamientos sean efectivos y se integren armoniosamente con la sonrisa natural del paciente.
Con la combinación de tecnología avanzada y una cuidadosa atención a la estética, los pacientes con hipoplasia dental pueden lograr sonrisas saludables y atractivas, mejorando su calidad de vida y confianza.
Agenda una consulta personalizada para averiguar qué tratamiento es el más indicado para ti y, ¡Descubre cómo podemos transformar tu sonrisa!











